Enfermedad de Iselin
La enfermedad de Iselin es una osteocondrosis (o apofisitis o epifisitis) de la apófisis del quinto metatarsiano producida por la tracción repetida del músculo peroneo lateral corto. Afecta de forma especial a jóvenes deportistas.[1]
| Enfermedad de Iselin | ||
|---|---|---|
| eMedicine | emerg/ | |
| Sinónimos | ||
| Osteocondrosis, apofisitis, epifisitis | ||
Historia
La enfermedad de Iselin fue descrita por primera vez en adolescentes por Iselin en 1912. En la actualidad, con el aumento de actividad deportiva tanto en jóvenes como en adolescentes, su frecuencia debería ser mayor.
Fisiopatología

La apófisis estiloides de la base del quinto metatarsiano se desarrolla entre los 9 y los 11 años en las niñas y entre los 11 y los 14 años en los niños, fusionándose dos o tres años después. Se cree que es una lesión debida a la presión excesiva repetida que se ejerce sobre la apófisis durante las actividades deportivas y a la tracción que también ejerce la inserción del músculo peroneo lateral corto.
Síntomas
Los síntomas incluyen dolor en el borde externo del pie que empeora con la actividad física y mejora con el reposo.
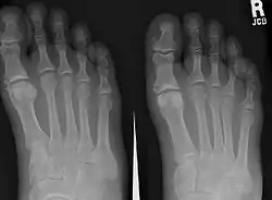
Diagnóstico
Para el diagnóstico debe tenerse en cuenta la sintomatología y los hallazgos radiológicos (radiografías anteroposterior, lateral y oblicua de los pies).
Tratamiento
El tratamiento consiste en el cese de la actividad deportiva, la aplicación de frío, la administración de antiinflamatorios y la inmovilización, si fuera necesaria.[2] La enfermedad de Iselin es una condición generalmente autolimitada, que debe distinguirse de una fractura verdadera del 5.º metatarsiano por un traumatismo agudo y directo en la que puede ser necesario recurrir al tratamiento quirúrgico.[3]
Referencias
- Martí Fernández J, Espinosa Farrona C. Enfermedad de Iselin; un caso en un joven deportista. Rev Pediatr Aten Primaria. 2013;15:69-72. Consultado el 05/abr/2013.
- Institute for Sports Medicine, Children's Hospital Of Chicago. Iselin Disease. Consultado el 31/octubre/2013.
- LaBella CR. Common Acute Sports-Related Lower Extremity Injuries in Children and Adolescents. Clin Ped Emerg Med. 2007;8:31-42