Eminencia media
La eminencia media[1] es la estructura que forma la porción anterior y más baja del hipotálamo, siendo parte de la base del cerebro. Muestra una composición compleja, con una vascularización capilar abundante que inicia la circulación Porta hipotálamo-hipófisis. Tiene funciones importantes en el control del sistema neuroendócrino.
| Eminencia media | ||
|---|---|---|
![]() ME= Eminencia media. 3V= tercer ventrículo. | ||
| Latín | [TA]: eminentia mediana hypothalami | |
| TA | A14.1.08.409 | |
| Es parte de |
Encéfalo Sistema endócrino | |
| Arterias | Hipofisaria superior | |
| Venas |
Hipofisarias Porta hipotálamo-hipófisis | |
| Enlaces externos | ||
| Gray | pág.812 | |
| NeuroLex ID | Median eminence | |
| NeuroNames | Median eminence | |
Anatomía

La eminencia media (ME en inglés) es una franja estrecha de tejido, comprendida entre el suelo del tercer ventrículo por arriba y la pars tuberalis de la adenohipófisis por abajo.
La eminencia media forma la pared inferior y el piso del tercer ventrículo.[2]
Vista por su cara inferior extracerebral, la eminencia media es una protuberancia del tuber cinereum del cual arranca el tallo del infundibulum o tallo hipofisario que se continúa con la neurohipófisis.[3]
Es parte de la base del cerebro, que está en contacto con el líquido cefalorraquídeo y las meninges.
La arteria hipofisaria superior irriga y se ramifica en el llamado plexo primario en la región de la Eminencia media.[4]
Estructura
La eminencia media (EM) muestra una estructura compleja con una vascularización importante y está atravesada por axones y fibras nerviosas.[5]
En un corte de plano frontal (transversal) del cerebro, la EM se ve como una franja estrecha de tejido nervioso, comprendida entre el suelo del tercer ventrículo por arriba y la pars tuberalis de la cual arranca el infundíbulo y la adenohipófisis por abajo.[6][3]
La EM está estructurada por: una zona dorsal (superior), por una zona central y por una zona ventral (inferior o exterior).
- La zona dorsal,
que está en contacto con el tercer ventrículo y el líquido cefalorraquídeo es donde se encuentran los polos perinucleares de los tanicitos.
- La zona media o fibrosa,
es donde se localizan los axones amielínicos del núcleo supraóptico y el núcleo paraventricular en tránsito a la neurohipófisis y los axones terminales hipofiso-trópicos.
- La zona ventral,
adyacente a las meninges y a la silla turca, es la que presenta los capilares del Plexo primario del sistema porta. Al ser teñida, esta zona peri-capilar muestra aspecto de 'empalizada'.
Estos capilares tienen sus células endoteliales perforadas por poros, conocidos como fenestraciones y son llamados capilares fenestrados[7]
En la zona lateral externa de la EM, terminan los axones del núcleo arcuato directamente en los capilares porta hipofisiarios. A este tracto de fibras se le conoce también como haz túbero-hipofisiario.[8]
La eminencia media presenta una vascularización particular y característica. Una red capilar importante que da inicio al sistema circulatorio Porta hipotálamo-hipófisis. Las arterias hipofisarias superiores se unen a otros capilares sanguíneos y generan el Plexo primario; desde allí se resume en 10 a 15 microvasos que descienden transitando por el tallo hipofisario.
Microarquitectura


Tc= Tanicito.
PC= axones de neuronas parvocelulares.
La composición celular de la Eminencia media (EM) comprende: microglía, tanicitos, células endoteliales, pericitos y neuronas.[9]
Los axones de las neuronas neurosecretoras presentes en la EM, corresponden tanto a neuronas magnocelulares como a neuronas parvocelulares.
Los axones de las neuronas parvocelulares terminan en la eminencia media donde secretan las hormonas liberadoras (RH releasing hormone en inglés) también llamadas hormonas trópicas dentro de la circulación porta hipotalámica.
Los axones de las neuronas magnocelulares solamente transitan la Eminencia Media hacia la neurohipófisis.[10]
Los Tanicitos beta-2 de la EM, tienen sus núcleos en contacto con el LCR, en el piso del tercer ventrículo y sus prolongaciones se extienden atravesando la zona media de la EM, hasta la zona ventral donde se ubican los capilares del Plexo primario.
Ultraestructura

Con microscopía electrónica y a grandes aumentos, se observa que las neuronas neurosecretoras característicamente muestran "varicosidades" en el extremo de sus axones. Estas dilataciones están adyacentes a los capilares de la circulación porta de la Eminencia media (EM) y contienen vesículas grandes de 80-120 nm de diámetro con centro denso.[10]

Los capilares fenestrados de la EM tienen sus células endoteliales perforadas por poros, conocidos como fenestraciones. Estas fenestraciones transendoteliales de 30-80 nm de diámetro, están ocupadas por una red de fibrillas radiales o material delgado denso en electrones, a través del poro.
Los capilares fenestrados se someten a una angiogénesis continua y reconstruyen su arquitectura. Los capilares fenestrados permiten la comunicación entre el parénquima y la sangre, facilitando la transducción de información con la circulación sanguínea.[7]

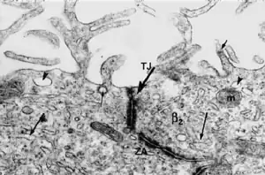
Los Tanicitos β2 de la EM, en sus polos perinucleares del tercer ventrículo, están adosados por uniones intercelulares estrechas. Las uniones tight junction Zonula occludens (TJ) y las Zonula adherens (ZA) conforman la 'barrera al líquido cefalorraquídeo' de la EM (CSF-ME en inglés).[11]
Los polos basales de los β2, tienen prolongaciones citoplasmáticas largas, que entran en contacto directo con los capilares fenestrados desprovistos de barrera hematoencefálica presentes en la EM. Las delgadas extensiones citoplasmáticas de los tanicitos beta-2, también actúan como envoltura de los terminales axonales neurosecretores.[12][9]
Función
III-V= tercer ventrículo. α1, α2, β1 y β2= Tanicitos
La eminencia media posee una extraordinaria importancia en el control neuroendócrino, ya que es la zona anatómica de interacción entre el sistema nervioso y la adenohipófisis.[3]
- Hormonas destinadas a la adenohipófisis
- Hormona liberadora de tirotropina (TRH) La mayor densidad se observó en la zona externa de la eminencia media, donde los axones de las neuronas parvocelulares hipofisiotrópicas se acumulan alrededor del sistema capilar portal.[10]
- Hormona liberadora de hormona del crecimiento (GHRH)
- Hormona liberadora de gonadotropina (GnRH)
- Hormona liberadora de hormona adrenocorticotropa (CRH)
- Axones destinados a la neurohipófisis
Órgano neurohemático
La Eminencia media está considerada como un órgano neurohemático circunventricular (NHO/CVO) secretor, por ser un área especializada del tercer ventrículo, en la cual las neuronas que la integran, secretan neuropéptidos que entran en la circulación a través de capilares fenestrados característicos.[13]
Véase también
Referencias
- OMS,OPS (ed.). «Eminencia media». Descriptores en Ciencias de la Salud, Biblioteca virtual de salud.
- Latarjet M.; Ruiz Liard A. (2004). «Encéfalo. Sistema nervioso central». Anatomía Humana. p. 197.
- Calderón M.D.; Tresguerres J.A.F.; Moreno B. (1994). «2:El hipotálamo: transductor endócrino». En Moreno B.; Gargallo M.A.; López de la Torre M., eds. Diagnóstico y tratamiento en Endocrinología. Díaz de Santos. pp. 9-11.
- Greca A. (2009). «La Regulación Psiconeuroendócrina de la Respuesta Inmunológica». UNR. Facultad de Ciencias Médicas, Universidad Nacional de Rosario.
- Welsch U.; Sobotta J. (2008). «11:Sistema endócrino». Histología (2a. edición). Médica Panamericana. pp. 413-414.
- Puelles López L.; Martínez Pérez S.; Martínez de la Torre M. (2008). «25:Hipotálamo basal y alar». Neuroanatomía. Médica Panamericana. p. 192.
- Miyata S. (2015). «New aspects in fenestrated capillary and tissue dynamics in the sensory circumventricular organs of adult brains». Front Neurosci. (Review) 9: 390. doi:10.3389/fnins.2015.00390. Consultado el 1 de diciembre de 2020.

- Gonzáles G. (1999). «Neuroendocrinología». Revista Peruana de Endocrinologia y Metabolismo 4 (2): 57-82. Consultado el 11 de setiembre de 2020.
- Prevot V.; Nogueiras R.; Schwaninger R. (2021). «Tanycytes in the infundibular nucleus and median eminence and their role in the blood-brain barrier». Review Handb Clin Neurol 180: 253-273. doi:10.1016/B978-0-12-820107-7.00016-1. Consultado el 17 de marzo de 2022.
- Kalló I.; Mohácsik P.; Vida B.; Zeöld A.; Bardóczi Z.; Zavackix A.M.; Gereben B. (2012). «A Novel Pathway Regulates Thyroid Hormone Availability in Rat and Human Hypothalamic Neurosecretory Neurons». PLoS ONE 7 (6): e37860. doi:10.1371/journal.pone.0037860. Consultado el 30 de noviembre de 2020.

- Mullier A.; Bouret S.G.; Prevot V.; Dehouck B. (2010). «Differential distribution of tight junction proteins suggests a role for tanycytes in blood-hypothalamus barrier regulation in the adult mouse brain». Journal of Comparative Neurology (J Comp Neurol) 518 (7): 943-962. doi:10.1002/cne.22273. Consultado el 4 de diciembre de 2020.
- Elizondo-Vega R.; Cortes-Campos C.; Barahona M.J.; Oyarce K.A.; Carril C.A.; García-Robles M.A. (2015). «The role of tanycytes in hypothalamic glucosensing». Journal of Cellular and Molecular Medicine 19 (7): 1471-1482. doi:10.1111/jcmm.12590. Consultado el 19 de octubre de 2020.

- García Hernández-Abad L.; Ruiz-Mayor M.L. (2017). «Comportamiento de los órganos circunventriculares en la hipertensión sistémica.». Majorensis (Artículo de revisión) 13: 69-79. Consultado el 15 de marzo de 2022.



