Dislocación acromioclavicular
La luxación o lujación de la articulación acromioclavicular es una lesión usualmente traumática de la articulación acromioclavicular (AC) donde hay daño de sus medios de unión—cápsula de la articulación y los ligamentos coracoclaviculares—con separación de las superficies articulares, donde el extremo acromial de la clavícula asciende a un nivel superior al del acromión. La articulación AC se encuentra en el extremo distal de la clavícula, se conoce como el extremo acromial, nombre que atribuye al acromion de la escápula. Aunque esta articulación es parte del hombro, una luxación y una separación son eventos completamente diferentes.
| Dislocación acromioclavicular | ||
|---|---|---|
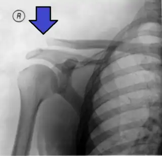
![]() Radiografía de un hombro dislocado, modificada para mostrar los huesos, apreciándose una clara separación entre el extremo de la clavícula y la escápula. | ||
| Especialidad | medicina de emergencia | |
Etiología
La separación del hombro no es lo mismo que una dislocación del hombro que implica un desplazamiento de la articulación glenohumeral. Una separación del hombro suele ocurrir en personas que participan en deportes como fútbol, equitación, hockey, ciclismo, remo, rugby, esquí, snowboarding, y lucha libre. El mecanismo más frecuente de lesión es una caída en la punta del hombro, o también una caída sobre una mano extendida. En casos de caídas donde la fuerza se transmite indirectamente, a menudo sólo se ve afectado el ligamento acromioclavular, y los ligamentos coracoclaviculares permanecen ilesos. En el hockey, la separación es a veces debido a una fuerza lateral, cuando el jugador es lanzado con fuerza a la pared lateral de la pista.
Clasificación
La dislocación acromioclavicular se clasifica como de 1º, 2º, 3º grado de separación, dependiendo de cuanto se dañó la articulación. Usualmente, la articulación se lesiona por un golpe sobre el acromión el cual dirige hacia abajo el extremo de la clavícula. Si la fuerza impulsora es suficiente la cápsula de la articulación acromioclavicular se rompe y el ligamento coracoclavicular se rasga. El paciente tiene un “escalón” marcado en vez de una transición lisa entre los dos huesos.
Luxación acromioclavicular de 1º grado: Un primer grado de separación implica solamente el estiramiento de los ligamentos, pero manteniendo la unión de las superficies articulares, sin desgarros ni fracturas. Comúnmente se le refiere como un esguince y suele ser tratada con fármacos antiinflamatorios, medicamentos para el dolor y la colocación de un cabestrillo o inmovilizador en el hombro.
Luxación acromioclavicular de 2º grado: Un segundo grado de separación implica el desgarro parcial del ligamento acromioclavicular y del ligamento coracoclavicular. Esto a menudo provoca un aumento notable de volumen en el hombro. Es común que el sujeto refiera dolor y limitación del movimiento en el hombro afectado. El tratamiento es generalmente una férula, reposo, terapia con hielo seguido de calor, y fármacos antiinflamatorios. La mayoría de las personas recuperan el movimiento del hombro y el brazo por completo de 6 a 8 semanas, a menudo con la ayuda de terapia física.
Luxación acromioclavicular de 3º grado: Un tercer grado de separación implica la ruptura total tanto del ligamento acromioclavicular como del ligamento coracoclavicular. La clavícula puede ser movilizada dentro y fuera de su lugar en el hombro. Es posible que lleve hasta 12 semanas para sanar, con ayuda de fisioterapia. Puede que dure más tiempo para que el hombro vuelva a su función y aparente normalidad. El hombro lesionado ya no podrá ser capaz de tomar el abuso que soportaba anteriormente, pero para la mayoría de los propósitos el hombro es útil. Sin embargo, todavía hay controversia en cuanto a si la cirugía puede ser necesaria para la óptima utilización del hombro en el deporte.
La mayoría de las lesiones son tratadas con inmovilización pero la interrupción severa puede requerir la colocación de un tornillo o de un perno a través de la clavícula, el ligamento y en la apófisis coracoides para alcanzar la realineación total.
.png.webp)