Cuerpos de Call-Exner
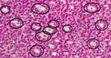
Los cuerpos de Call–Exner, con un aspecto parecido al del folículo, es una pequeña perforación entre las células de la granulosa relleno de un fluido eosinofílico.[1] Las células de la granulosa están generalmente organizadas aleatoriamente alrededor del espacio.

Son patognomónicos de tumores de células de la granulosa.
Histológicamente, estos tumores constan de islas monótonas de células de la granulosa con núcleos en "grano de café". Este aspecto de surco nuclear aparece también en el tumor de Brenner, un tumor ovárico de origen epitelial-estromal que puede distinguirse por nidos de células epiteliales de transición (urotelio) con surcos nucleares longitudinales (núcleos en grano del café) en un estroma fibroso abundante. [2]
Están compuestos de secreciones de las células de la granulosa empaquetados en una membranas y tienen relaciones con la formación de líquido folicular los cuáles se observan estrechamente organizadas entre las células de la granulosa.
Se conocen así por Emma Louise Call (1847-1937), una médica estadounidense, y Sigmund Exner,un fisiólogo austriaco.[3][4]
Referencias
- thefreedictionary.com > Call–Exner body Citing: The American Heritage Medical Dictionary. Copyright 2007
- Ahr, A.; Arnold, G.; Göhring, U. J.; Costa, S.; Scharl, A.; Gauwerky, J. F. (July 1997). «Cytology of ascitic fluid in a patient with metastasizing malignant Brenner tumor of the ovary. A case report». Acta Cytologica 41 (4 Suppl): 1299-1304. ISSN 0001-5547. PMID 9990262. doi:10.1159/000333524.
- Archived version of the Call-Exner bodies page on Who Named It?
- Emma Louise Call and Sigmund Exner: Zur Kenntniss des Graafschen Follikels und des Corpus luteum beim Kaninchen. Sitzungsberichte der kaiserlichen Akademie der Wissenschaften. Mathematish naturwssenschaftliche Classe, Wien, 1875, 72: 321-328.