Citomegalovirus
Citomegalovirus (CMV), es un género de herpesvirus dentro de la subfamilia Betaherpesvirinae, de la familia Herpesviridae. Su nombre alude al aumento de tamaño que se observa en las células infectadas producto del debilitamiento del citoesqueleto. Se hallan en muchas especies de mamíferos.
| Citomegalovirus | ||
|---|---|---|
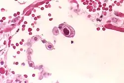
![]() Neumocito pulmonar infectado con CMV. | ||
| Taxonomía | ||
| Dominio: | Duplodnaviria | |
| Orden: | Herpesvirales | |
| Familia: | Herpesviridae | |
| Subfamilia: | Betaherpesvirinae | |
| Género: | Cytomegalovirus | |
| Especie: | Human herpesvirus 5 (HHV-5) | |
| Clasificación de Baltimore | ||
| Grupo: | I (Virus ADN bicatenario) | |
Este género incluye el herpes humano conocido como HHV-5 (Human HerpesVirus 5), que es una de las principales causas de mononucleosis infecciosa. Los CMV principalmente atacan a las glándulas salivales y su infección puede ser grave o fatal para los pacientes que sufren inmunodeficiencia y para los fetos durante el embarazo.[cita requerida]
Los CMV afectan a personas tanto inmunocompetentes como inmunodeprimidas. Es en los pacientes inmunodeprimidos en los que produce complicaciones severas. Sin embargo, en el resto también se han descrito afecciones tales como el síndrome similar a mononucleosis, faringitis, linfoadenopatías o artralgias[1] y hepatitis.
Tipos
- Cercopithecine herpesvirus 5 (CeHV-5) - Citomegalovirus del mono verde africano.
- Cercopithecine herpesvirus 8 (CeHV-8) - Citomegalovirus del mono Rhesus.
- Human herpesvirus 5 (HHV-5) - Citomegalovirus de humanos.
- Pongine herpesvirus 4 (PoHV-4).
Tipos provisionales:
- Aotine herpesvirus 1 (AoHV-1) - Herpesvirus aotus 1.
- Aotine herpesvirus 3 (AoHV-3) - Herpesvirus aotus 3.
Información general
Los citomegalovirus, o CMV, se encuentran de manera universal en todas las localizaciones geográficas y en todos los grupos socioeconómicos, infecta a entre un 50 % y un 85 % de los adultos de los Estados Unidos. La infección está más extendida en países en vías de desarrollo y en áreas con pobres condiciones socioeconómicas. Algunas personas pueden sufrir síntomas, con fiebre prolongada y una leve hepatitis, características de una mononucleosis infecciosa. En la mayoría de las ocasiones estos síntomas pasan inadvertidos o son confundidos con los de otras enfermedades. Cabe destacar que este virus puede transmitirse a cualquier edad, siendo más común su contagio durante la niñez, la adolescencia y la juventud, por factores de exposición.
Cuando el CMV causa infección por primera vez se habla de infección primaria. Al igual que con muchas infecciones, el cuerpo comienza a luchar contra el virus produciendo anticuerpos y células inmunitarias. Mientras existe una infección activa en el cuerpo el CMV será excretado en los líquidos corporales. Sin embargo, después de la infección el virus permanece en el cuerpo en estado latente o inactivo, generalmente por el resto de la vida del huésped. Los anticuerpos contra el CMV estarán presentes por el resto de la vida también.
Como otros virus en su familia, es posible que el CMV se reactive (actúe como una nueva infección). Este tipo de infección es una infección recurrente y puede ocurrir en cualquier momento, pero especialmente cuando el sistema inmunitario está alterado o débil. Cuando ocurre una reactivación, los niveles de anticuerpo contra el CMV pueden aumentar y la excreción del virus puede recurrir.
Características del virus

El CMV es miembro del grupo de los herpesvirus, familia que incluye los tipos 1 y 2 de herpes simplex, el virus de la varicela zóster (que causa la varicela y herpes zóster), y el virus de Epstein-Barr (que junto con el CMV, es la principal causa de la mononucleosis). Estos virus comparten la habilidad de permanecer latentes en el cuerpo durante largos periodos.
La infección inicial por CMV, que puede provocar algunos síntomas, siempre es seguida por una infección prolongada asintomática, en la que el virus queda latente. Una alteración importante del sistema inmunitario, por medicación o enfermedad, puede reactivar el virus.
Transmisión y prevención
La transmisión del CMV ocurre de persona a persona y afecta a individuos de cualquier edad, aunque su contagio es más común durante la niñez, la adolescencia y la juventud. La infección requiere contacto cercano y directo con los líquidos corporales de una persona.
Enfermedades relacionadas
Estudios recientes indican que el virus se ha encontrado en forma masiva en tumores cerebrales tales como el glioblastoma multiforme (GBM), pero hasta la fecha no se ha podido determinar si el virus crea el tumor o el tumor resulta ser un campo propicio para el desarrollo del virus, sin embargo, se han obtenido muy buenos resultados al incluir un antiviral (valganciclovir) en el tratamiento de los pacientes con GBM.
El CMV también parece estar relacionado en la patología de la enfermedad periodontal, en conjunción con Porphyromonas gingivalis y Actinobacillum actinomycetencomitans.
Diagnóstico
La mayoría de las infecciones con CMV no son diagnosticadas porque el virus normalmente produce pocos o ningún síntoma y tiende a reactivarse intermitentemente sin síntomas. No obstante, las personas que han sido infectadas con CMV, desarrollan anticuerpos que persisten en el organismo. Existen exámenes de laboratorio (Perfil de Torch para IgG e IgM) para detectar los anticuerpos del CMV y además, el virus puede ser cultivado a partir de la orina, muestras de tejido, etc. para detectar las infecciones activas. Se pueden hacer exámenes cualitativos y cuantitativos, permitiendo a los médicos monitorizar la carga viral de los pacientes infectados por CMV.
Se debe sospechar una infección por CMV si el paciente:
- Tiene síntomas de mononucleosis, pero da negativo para el virus de Epstein Barr.
- Muestra signos de hepatitis, pero da negativo para los virus de hepatitis A, hepatitis B y hepatitis C.
Tratamientos
Por lo general no es necesario ningún tratamiento, ya que la mayoría de las infecciones se curan por sí mismas, salvo casos donde el virus comprometa la función de ciertos órganos.
El tratamiento con ganciclovir 5 mg/kg cada 12 horas, por 14 a 21 días, es usado en pacientes inmunodeprimidos. Tras este pasarán a la toma vía oral de valganciclovir (Valcyte). El valaciclovir (Valtrex) es otro antiviral administrado por vía oral que también es muy efectivo. Foscarnet puede ser administrado a pacientes con CMV resistentes al ganciclovir, aunque el nivel de tolerancia no es tan bueno como con el medicamento anterior.
Existe otro fármaco utilizado en el tratamiento contra el citomegalovirus, sobre todo cuando el número de copias es muy alto y la afectación del hígado también, que es el cidofovir, resultando bastante nefrotóxico (por ello, previamente habrá que valorar el estado renal y suministrarlo siempre acompañado de probenecid), ya como última alternativa, se utiliza en pediatría y en pacientes trasplantados de médula ósea o de sangre procedente de cordón umbilical que se ven muy comprometidos por dicho virus.
La vacuna está aún en periodo de desarrollo.
Referencias
- Francesco Drago; Maria Grazia Aragone; Cesare Lugani; Alfredo Rebora Cytomegalovirus Infection in Normal and Immunocompromised Humans, Dermatology; 2000; 200, 3; ProQuest Health and Medical Complete pg. 189
Enlaces externos
Wikimedia Commons alberga una categoría multimedia sobre Citomegalovirus.- CDC information on cytomegalovirus
- Citomegalovirus Center de la Universidad de Stanford
- CMV Seronegative vs. Leucodepleted blood components for at risk recipients
- Cytomegalovirus (CMV)
- CMV and pregnancy (Guitton) Archivado el 21 de abril de 2014 en Wayback Machine.
- Pathology of Cytomegalovirus Infection
