Astrocitoma anaplásico
El astrocitoma anaplásico (AA) es un tipo raro de glioma que normalmente deriva de la malignización de un astrocitoma de bajo grado (astrocitoma pilocítico, astrocitoma difuso), aunque también se han descrito casos sin evidencias de lesión previa.[1] Está clasificado en el grado III de la OMS y su tendencia natural es la progresión maligna hacia el glioblastoma.[2]
| Astrocitoma anaplásico | ||
|---|---|---|
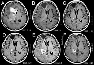
![]() (A) La imagen de RM muestra un tumor en los lóbulos frontales derecho y izquierdo, así como en el tálamo derecho. (B) RM después del tratamiento con resección quirúrgica, radioterapia y quimioterapia. El tumor ha desaparecido por completo, excepto por un ligero realce adyacente al margen quirúrgico. (C) Recurrencia del tumor talámico 9 meses después, a pesar de la quimioterapia de mantenimiento. (D) Crecimiento del tumor talámico dos meses después de la radioterapia estereotáxica. (E) Después de 6 ciclos de quimioterapia con temozolomida, la lesión talámica ha aumentado y el paciente presenta disartria y hemiparesia. (F) Después de 2 ciclos de tratamiento con interferón-beta y temozolomida, el tumor muestra una regresión parcial. | ||
| Especialidad | oncología | |
En las imágenes de RM se muestra como una lesión sólida expansiva, mal delimitada, con edema perilesional asociado y que capta contraste. Histológicamente se caracteriza por atipias nucleares, aumento de la celularidad y significativa actividad proliferativa. La neoplasia se infiltra de forma difusa en el tejido circundante, sin destruirlo por completo, de manera que las estructuras afectadas aparecen engrosadas.[3]
El astrocitoma anaplásico constituye el 4% de todos los tumores primarios del sistema nervioso central. En Europa, el 60% de los casos se diagnostican en la edad adulta, entre los 45 y los 69 años. En este grupo de edad la tasa de incidencia anual se encuentra entre 0,5 y 0,7 por 100.000. Es más frecuente en varones.[4][1] Afecta principalmente a los hemisferios cerebrales, particularmente en los lóbulos frontales y temporales. El intervalo entre los primeros síntomas y el diagnóstico es de aproximadamente 1,5-2 años.[5] El tratamiento comprende resección quirúrgica, radioterapia y quimioterapia. La mediana de supervivencia es de 15-27 meses y la tasa de supervivencia a los 5 años se cifra en torno a un 20%.[6]
Patología

Los astrocitomas anaplásicos entran en la categoría de gliomas de alto grado (grado III-IV de la OMS), que son gliomas patológicamente indiferenciados que llevan aparejado un mal pronóstico clínico. Pueden surgir de novo o ser el resultado de una progresión maligna de un astrocitoma difuso (grado II OMS).[1] A diferencia del glioblastoma (grado IV OMS), el astrocitoma anaplásico carece de proliferación vascular y necrosis en la evaluación patológica.[7]
Las muestras de biopsia del tumor por lo general muestran una elevada densidad celular, atipias, mitosis y una significativa actividad proliferativa.[3] El origen astrocitario del tumor puede ser determinado mediante la detección de la GFAP con métodos inmunohistoquímicos. En más de la mitad de los tumores pueden detectarse mutaciones de la proteína Tp53 y de la isocitrato deshidrogenasa (IDH).[1]
Sintomatología
La sintomatología de presentación es inespecífica y varía en función de la localización del tumor, el tamaño y el edema asociado. Es frecuente la aparición de crisis epilépticas, cefaleas, alteraciones visuales, déficits neurológicos focales o deterioro cognitivo progresivo.[1] El intervalo de tiempo entre la aparición de los síntomas y el diagnóstico es de aproximadamente 1,5-2 años. Las convulsiones son menos comunes entre los pacientes con astrocitomas anaplásicos en comparación con las lesiones de bajo grado.[5]
Causas
La mayoría de los gliomas de alto grado se producen esporádicamente o sin una causa identificable. La etiología de estas neoplasias sigue siendo en gran parte desconocida, aunque se han relacionado con ciertos síndromes hereditarios como la neurofibromatosis tipo I, el síndrome de Li-Fraumeni y la esclerosis tuberosa. También se han asociado a una exposición prolongada a tóxicos ambientales (clorhidrato de metileno, derivados del petróleo)[8] y a estímulos electromagnéticos (teléfonos móviles).[9]
Diagnóstico
La imagen de RM generalmente muestra una lesión sólida expansiva con edema asociado y captante de contraste. Puede ser difícil de distinguir del glioblastoma multiforme (GBM), por lo que es necesaria la confirmación histológica para un adecuado diagnóstico.
Tratamiento
El tratamiento estándar actual consiste en la resección quirúrgica del tumor en la medida de lo posible, seguida de radioterapia y quimioterapia.
El tratamiento inicial estándar es extirpar la mayor cantidad de tumor posible sin empeorar los déficits neurológicos. Se ha demostrado que la radioterapia prolonga la supervivencia y es una componente estándar del tratamiento. Aunque el tratamiento quimioterápico con temozolomida es eficaz para el tratamiento del astrocitoma anaplásico recidivante, su papel como coadyuvante a la radioterapia no ha sido probado completamente.
Pronóstico
Los factores que influyen en la supervivencia son, entre otros, la edad del paciente en el momento del diagnóstico, la puntuación en la escala de Karnofsky (KPS) y la extensión de la resección.[10][11]
Referencias
- Stupp, R., Reni, M., Gatta, G., Mazza, E., Vecht, C. (2007). «Anaplastic astrocytoma in adults». Critical Reviews in Oncology/Hematology (en inglés) 63 (1): 72-80. PMID 17478095. doi:10.1016/j.critrevonc.2007.03.003.
- Kleihues, P. et al. (2000). Anaplastic Astrocytoma. In P. Kleihues, W.K. Cavenee, eds., Pathology and genetics of tumours of the nervous system, World Health Organization classification of tumours. Lyon, France: IARC Press, 2000, ISBN 9283224094
- Reyes Oliveros, Francisco (2007). Gliomas del encéfalo. Univ. Santiago de Compostela. p. 73.
- Sant, M., Allemani, C., Santaquilani, M., Knijn, A., Marchesi, F., Capocaccia, R., EUROCARE Working Group. (2009). «EUROCARE-4. Survival of cancer patients diagnosed in 1995–1999. Results and commentary.». European Journal of Cancer 45 (6): 931-991.
- Jeffrey N Bruce et al. (2006). Astrocytoma. eMedicine. (en inglés)
- Smoll NR, Hamilton B (2014). «Incidence and relative survival of anaplastic astrocytomas». Neuro-Oncology 0: 1-8. doi:10.1093/neuonc/nou053.
- http://www.pathologyoutlines.com/topic/cnstumoranaplasticastrocytoma.html Archivado el 18 de noviembre de 2019 en Wayback Machine. Anaplastic astrocytoma - Pathology Outlines
- Heineman, E. F., Cocco, P., Gómez, M. R., Dosemeci, M., Stewart, P. A., Hayes, R. B., Blair, A. (1994). «Occupational exposure to chlorinated aliphatic hydrocarbons and risk of astrocytic brain cancer». American Journal of Industrial Medicine (en inglés) 26 (2): 155-169. PMID 7977393.
- Hardell, L., Mild, K. H., Carlberg, M. (2002). «Case-control study on the use of cellular and cordless phones and the risk for malignant brain tumours». International Journal of Radiation Biology (en inglés) 78 (10): 931-936. doi:10.1080/09553000210158038.
- Scott, C. B., Scarantino, C., Urtasun, R., Movsas, B., Jones, C. U., Simpson, J. R., Curran, W. J. (1998). «Validation and predictive power of Radiation Therapy Oncology Group (RTOG) recursive partitioning analysis classes for malignant glioma patients: a report using RTOG 90-06». International Journal of Radiation Oncology* Biology* Physics (en inglés) 40 (1): 51-55. doi:10.1016/S0360-3016(97)00485-9.
- Nuño M, Birch K, Mukherjee D, Sarmiento JM, Black KL, Patil CG (2013). «Survival and prognostic factors of anaplastic gliomas». Neurosurgery (en inglés) 73 (3): 458-65. PMID 23719055. doi:10.1227/01.neu.0000431477.02408.5e.
Bibliografía
- Jeffrey N Bruce et al. (2006). Astrocytoma. eMedicine.
- Lisa M. DeAngelis (2001). Brain Tumors, N Engl J Med, Vol. 344(2):114-123, January 11, 2001.
- P. Kleihues et al. (2000). Anaplastic Astrocytoma. In P. Kleihues, W.K. Cavenee, eds., Pathology and genetics of tumours of the nervous system, World Health Organization classification of tumours. Lyon, France: IARC Press, 2000, ISBN 9283224094
- Escalona-Zapata, Julio; Bello, M. J. (1996). Tumores del sistema nervioso central. Editorial Complutense. ISBN 8489365598.
- Reyes Oliveros, Francisco (2007). Gliomas del encéfalo. Univ. Santiago de Compostela.
- Aguirre Cruz, María Lucinda; Sotelo Morales, Julio (2008). Tumores cerebrales. Volumen 1. Ed. Médica Panamericana. ISBN 9687988843.
Enlaces externos
Wikimedia Commons alberga una categoría multimedia sobre Astrocitoma anaplásico.
