Angiomiolipoma
Un Angiomiolipoma es un tumor de comportamiento generalmente benigno y de aspecto hamartomatoso.
| Angiomiolipoma | ||
|---|---|---|
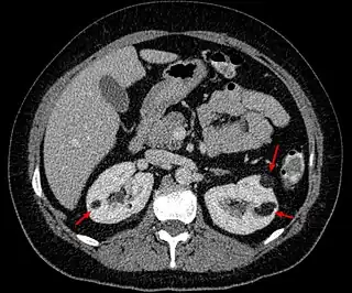
![]() Angiomiolipomas en ambos riñones (flechas) en una tomografía axial computarizada. | ||
| Especialidad | oncología | |
Denominación
Su nombre se debe a que contiene áreas de tejido vascular ("angio-"), otras constituidas por músculo liso ("-mio-") y entremezclado con ellas áreas de tejido adiposo maduro ("-lipoma") o de aspecto degenerado.
Cuadro clínico y Diagnóstico
Este tumor benigno es poco habitual; es el doble de frecuente en mujeres que en hombres. Se suele diagnosticar en adultos jóvenes de forma casual, en un estudio de imagen realizado por otro motivo en el 80% de los casos. Menos frecuentemente (15%) se diagnostica a raíz de una complicación hemorrágica denominada Síndrome de Wünderlich. Se suele detectar con ecografía, como una masa renal de aspecto hiperecogénico (debido a su contenido graso) pero el diagnóstico definitivo (para diferenciarlo de un tumor maligno) se establece con TAC con contraste radiológico o Resonancia Magnética sin contraste. No está indicada la biopsia por el riesgo de sangrado (al tener en su composición tejido vascular). Una vez establecido el diagnóstico de angiomiolipoma, el seguimiento se puede realizar con ecografía sin necesidad de otras pruebas de imagen. Se puede presentar de forma aislada, pero hay casos asociados a la esclerosis tuberosa o a la linfangioleiomiomatosis en cuyo caso los angiomiolipomas están presentes en ambos riñones.
Tratamiento
En casos seleccionados, es suficiente con un seguimiento periódico con ecografía. Si es necesario realizar un tratamiento (siempre valorado de forma individualizada por un especialista), se puede optar por una nefrectomía parcial, o una embolización arterial selectiva en función del tamaño, la accesibilidad y otros factores individuales. En los pacientes con esclerosis tuberosa el tratamiento con fármacos del tipo mTOR es una alternativa que, además, permite preservar mayor cantidad de tejido renal sano (no tumoral) que se perdería en el caso de realizar una nefrectomía o una embolización.
