Anemia megaloblástica
Las anemias megaloblásticas son un grupo de enfermedades que resultan bien sea de la carencia de vitamina B12 (también llamada cobalamina), de vitamina B9 (también llamada ácido fólico) o de una combinación de ambas.[1] El término megaloblástico se refiere al gran tamaño (megalo) de las células precursoras (blastos) de la médula ósea (entre ellos los glóbulos rojos), por razón de que la maduración citoplasmática es mayor que la nuclear.[2]
| Anemia megaloblástica | ||
|---|---|---|
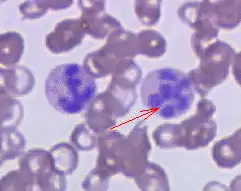
![]() Tinción de sangre periférica donde se ven neutrófilos hipersegmentados característicos de la anemia megaloblástica. | ||
| Especialidad | hematología | |
| Sinónimos | ||
| Anemia macrocítica | ||
La anemia megaloblástica es una anemia macrocítica que resulta de la inhibición de la síntesis de ADN en la producción de glóbulos rojos. Cuando la síntesis de ADN se frena, el ciclo celular es incapaz de pasar de la fase G2 de crecimiento a la fase de mitosis. Esto lleva a que la célula siga creciendo sin dividirse, presentándose una macrocitosis.[3]
Este defecto en la síntesis de ADN es frecuentemente debido a hipovitaminosis, específicamente a la deficiencia de vitamina B12 o ácido fólico (vitamina B9). La administración de suplementos de ácido fólico al haber ausencia de vitamina B12 ayuda a prevenir este tipo de anemia, aunque no evita otras patologías específicas de la vitamina B12.
Las anemias megaloblásticas que no son debidas a hipovitaminosis podrían ser causadas por antimetabolitos que bloquean directamente la producción de ADN, tales como quimioterapéuticos o agentes antimicrobianos.
El estado patológico de megaloblastocitosis se caracteriza por una gran cantidad de glóbulos rojos agrandados, inmaduros y disfuncionales en la médula ósea,[4] así como por la presencia de neutrófilos hipersegmentados, que muestran cinco o más lóbulos, siendo lo normal hasta cuatro.
Causas
Las principales y más frecuentes causas de anemias megaloblásticas son:
- Enfermedades del aparato digestivo
- Deficiencia de ácido fólico inducida por medicamentos, esta puede normalmente ser tratada con un suplemento dietario.
Causas
- Deficiencia de ácido fólico:
- Exceso de demanda: hemólisis crónica, embarazo o crecimiento.
- Malabsorción: fármacos, alcoholismo, enteritis crónica
- Dietas vegetarianas y o veganas mal balanceadas, sin suplementos de B9 o alimentos sin fortificación de B9
- Deficiencia de vitamina B12:
- Anemia perniciosa
- Gastrectomía
- Resección de íleon terminal( síndrome de asa ciega)
- Infestación por tenia de pescado
- Familiar: juvenil o hereditaria
- Hipo motilidad intestinal (amiloidosis)
- Dietas vegetarianas y o veganas mal balanceadas, sin suplementos de B12 o alimentos sin fortificación de B12
- Deficiencia de cobre, por ejemplo como resultado de un alto consumo de zinc encontrado en las cremas fijadoras dentales ha sido causa de esta anemia.[5][6]
Síntomas
Los síntomas varían dependiendo del factor que cause la anemia,[7] en general es frecuente ver:
- Pérdida del apetito
- Parestesias (hormigueo) y entumecimiento de manos y pies, vértigo, irritabilidad
- Palidéz u otros cambios en la coloración de la piel
- Cansancio, debilidad, fatiga
- Dolores de cabeza
- Úlceras en la boca y en la lengua
- Pérdida de concentración
- Diarrea o estreñimiento
- Dificultad respiratoria, sobre todo durante el ejercicio
Diagnóstico
Se analiza los niveles de vitamina B12 en sangre. Un bajo nivel de vitamina B12 es algo que debe tratarse con inyecciones, suplementos sublinguales en caso de poca o nula absorción del estómago, o consejos de dieta o estilos de vida, pero no completa el diagnóstico. Para una determinación de la etiología, se necesita un historial del paciente y exámenes clínicos.
La medición de ácido metilmalónico puede ser un método indirecto para diferenciar deficiencias de folato y vitamina B12, ya que los niveles de ácido metilmalonico no están elevados en deficiencia de ácido fólico.
Resultados hematológicos
Un hemograma puede indicar deficiencia de vitamina de varias formas:
- Conteo disminuido de glóbulos rojos y valores de hemoglobina.
- Valores elevados del volumen corpuscular medio.
- Valores normales de hemoglobina corpuscular media.
- Conteo de reticulocitos está disminuido debido a la destrucción de los frágiles y anormales precursores eritrocitarios.
- Neutrófilos hipersegmentados. Estos pueden ser debido a su baja producción, teniendo vidas más prolongadas para compensar, ya que los lóbulos nucleares aumentan con el tiempo de vida que llevan.
- Anisocitosis y poiquilocitosis; con predominio de macrocitos y ovalocitos.
- También pueden haber cuerpos de Howell-Jolly (remanentes cromosómicos).
La química sanguínea muestra lo siguiente:
- Aumento de la lactato deshidrogenasa. La isoenzima LDH-2 es la que se encuentra típicamente en suero y células hematopoyéticas.
- Aumento de hemocisteína y ácido metilmalónico al haber deficiencia de vitamina B12.
- Aumento de hemocisteína en deficiencia de folatos.
Un frotis de medula ósea muestra hiperplasia megaloblástica.
Véase también
Referencias
- Formulario Modelo de la OMS 2004
- Monografía.
- Hariz, Anis; Bhattacharya, Priyanka T. (2021). Megaloblastic Anemia. StatPearls Publishing. Consultado el 20 de noviembre de 2021.
- «Megaloblastic (Pernicious) Anemia - Lucile Packard Children's Hospital». Archivado desde el original el 23 de marzo de 2008. Consultado el 12 de marzo de 2008.
- Nations, S. P.; Boyer, P. J.; Love, L. A.; Burritt, M. F.; Butz, J. A.; Wolfe, G. I.; Hynan, L. S.; Reisch, J. et al. (26 de agosto de 2008). «Denture cream: an unusual source of excess zinc, leading to hypocupremia and neurologic disease». Neurology 71 (9): 639-643. ISSN 1526-632X. PMID 18525032. doi:10.1212/01.wnl.0000312375.79881.94.
- Spain, Rebecca I.; Leist, Thomas P.; De Sousa, Eduardo A. (2009-02). «When metals compete: a case of copper-deficiency myeloneuropathy and anemia». Nature Clinical Practice. Neurology 5 (2): 106-111. ISSN 1745-8358. PMID 19194390. doi:10.1038/ncpneuro1008.
- Ministerio de Sanidad y Consumo, España.
Enlaces externos
- University of Virginia Health System La Hematología y los Trastornos de la Sangre.
- Walgreens en Español Anemia megaloblástica
