Accidente cerebrovascular
El ictus o accidente cerebrovascular (ACV) es una afección médica en la que el flujo sanguíneo deficiente al cerebro produce muerte celular.[1] Se consideran sinónimos infarto cerebral, derrame cerebral o, menos frecuentemente, apoplejía o ataque cerebrovascular.[2][3]
| Ictus | ||
|---|---|---|
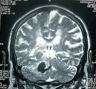
![]() RMN de cráneo que muestra una hemorragia intracerebral profunda (cerebelo): zona oscura, 30 horas desde el inicio de la enfermedad actual. | ||
| Especialidad |
neurología neurocirugía | |
| Sinónimos | ||
| ||
Según la Organización Mundial de la Salud los ACV son, junto a la enfermedad de las arterias coronarias, las principales enfermedades cardiovasculares. El mismo organismo internacional estima que en 2015 murieron 17,7 millones de personas a causa de las enfermedades cardiovasculares. Del total de estas muertes, 6,7 millones corresponden a los ACV.[4]
Definición
En la década de 1970, la Organización Mundial de la Salud definió el accidente cerebrovascular como un «déficit neurológico de causa cerebrovascular que persiste más allá de las primeras 24 horas o se ve interrumpido por la muerte antes de ese plazo».[5] Se suponía que esta definición reflejaba la reversibilidad del daño tisular y, para ese fin, se estableció arbitrariamente el límite en 24 horas. Este límite sirve para diferenciarlo del accidente isquémico transitorio, un síndrome relacionado con síntomas de accidente cerebrovascular que se resuelve por completo antes de ese plazo.[6]
Terminología
La terminología científica en español utiliza diversas denominaciones para este concepto. Accidente cerebrovascular se introdujo en 1927 con el fin de reflejar una «creciente conciencia y aceptación de las teorías vasculares y [...] el reconocimiento de las consecuencias de una interrupción repentina en el suministro vascular del cerebro»[7] introducido al español en los años 1960.[8] En el siglo XXI, varios tratados de neurología anglosajones desaconsejan su uso, porque la connotación de casualidad que conlleva la palabra «accidente» resalta de manera insuficiente la modificabilidad de los factores de riesgo subyacentes.[9][10][11] En su lugar, los médicos angloparlantes utilizan stroke, palabra que antaño era utilizada como sinónimo de ataque apopléjico.[12] En la Clasificación Internacional de Enfermedades de la Organización de las Naciones Unidas, publicada originalmente en inglés, emplea stroke (8B20) como etiqueta diagnóstica;[13] por su parte, la versión en español la tradujo como infarto cerebral (I63.9) en la CIE-10[14] y accidente cerebrovascular (8B20) en la CIE-11.[15] Por su parte, ictus, voz latina con el significado de ‘golpe’,[16] fue introducido en las ediciones renacentistas de tratados médicos latinos, aunque era entendido en latín clásico como ‘ataque súbito’ poco específico.[8] Se considera sinónimo de infarto cerebral junto a accidente cerebrovascular.[17]
El término ataque cerebral se introdujo para subrayar la naturaleza aguda del accidente cerebrovascular, según la American Stroke Association (división de la American Heart Association),[18] que ha utilizado el término desde 1990.[19] Se usa coloquialmente para referirse tanto al accidente cerebrovascular isquémico como al hemorrágico.[20]
Con la disponibilidad de tratamientos que pueden reducir la gravedad del cuadro si aquellos se administran de manera temprana, muchos especialistas prefieren ahora una terminología alternativa, como ataque cerebral y síndrome cerebrovascular isquémico agudo (derivados de ataque cardíaco y de síndrome coronario agudo, respectivamente), para reflejar del necesidad de actuar con rapidez ante los primeros síntomas.[21] Por su parte, el Diccionario de términos médicos (2011) de la Real Academia Nacional de Medicina de España engloba dentro del mismo campo semántico los siguientes nombres: ictus, accidente cerebrovascular, accidente cerebrovascular agudo, accidente vascular cerebral, accidente vascular encefálico, apoplejía, apoplejía cerebral, enfermedad cerebrovascular aguda y enfermedad vascular cerebral aguda; además, como registro coloquial incluye ataque cerebral, congestión cerebral y derrame cerebral; por último, ya como denominación en desuso, refiere ictus apoplético.[22]
Tipos
Según su etiología, los ataques cerebrovasculares (ACV) tienen dos variantes: isquémicos (embólico y trombótico) y hemorrágicos.[3]
Así, el ictus se manifiesta de dos formas bien diferenciadas:
- isquémica (infarto cerebral), por disminución anormalmente brusca del flujo sanguíneo en el cerebro;
- hemorrágica (derrame cerebral o hemorragia cerebral), debida a la rotura de un vaso cerebral.
El cuadro clínico es variado y depende del área encefálica afectada. Por todo ello, los ictus pueden ser clasificados así:

Ictus isquémico
Un ictus isquémico o ataque cerebrovascular oclusivo, también llamado infarto cerebral, se presenta cuando la estructura pierde la irrigación sanguínea debido a la interrupción súbita e inmediata del flujo sanguíneo, lo que genera la aparición de una zona infartada y es en ese momento en el cual ocurre el verdadero infarto cerebral, y se debe solo a la oclusión de alguna de las arterias que irrigan la masa encefálica, ya sea por acumulación de fibrina o de calcio o por alguna anormalidad en los eritrocitos, pero generalmente es por arteriosclerosis (también ateroesclerosis, de ateroma) o bien por un émbolo (embolia cerebral) que procede de otra localización, fundamentalmente el corazón u otras arterias (como la bifurcación de la carótidas o del arco aórtico). La isquemia de las arterias cerebrales puede producirse por los siguientes mecanismos y procesos:
De origen vascular y hemodinámico
Estenosis de las arterias (vasoconstricción) reactiva a multitud de procesos (vasoespasmo cerebral). Con frecuencia se debe a una disminución del gasto cardíaco o de la tensión arterial grave y mantenida, lo que genera una estenosis y el consecuente bajo flujo cerebral.
Es muy importante controlar la fibrilación auricular cardíaca, ya que las fibrilaciones del corazón forman trombos que pueden llegar al cerebro, provocándole ACVs.[23]
De origen intravascular

Ictus trombótico o aterotrómbico
En un ictus trombótico o aterotrómbico, se forma un coágulo (trombo) en una de las arterias que irrigan el cerebro, lo que provoca la isquemia; este fenómeno se ve favorecido por la presencia de placas de aterosclerosis en las arterias cerebrales.
En el ictus trombótico, generalmente se forma un coágulo de sangre[24] alrededor de las placas ateroscleróticas. Dado que el bloqueo de la arteria es gradual, la aparición de accidentes cerebrovasculares trombóticos sintomáticos es más lenta que la de un ictus hemorrágico. Un trombo en sí (incluso si no bloquea por completo el vaso sanguíneo) puede provocar un ACV embólico si el trombo se rompe y viaja por el torrente sanguíneo, momento en el que se denomina émbolo. Dos tipos de trombosis pueden causar un accidente cerebrovascular:
- La enfermedad de los grandes vasos afecta a las arterias carótidas comunes e internas, la arteria vertebral y el círculo de Willis.[25] Las enfermedades que pueden formar trombos en los vasos grandes son (en incidencia descendente): aterosclerosis, vasoconstricción (endurecimiento de la arteria), disección de la arteria aorta, carótida o vertebral, diversas enfermedades inflamatorias de la pared de los vasos sanguíneos (arteritis de Takayasu, arteritis de células gigantes, vasculitis), vasculopatía no inflamatoria, enfermedad de moyamoya y displasia fibromuscular.
- La enfermedad de vasos pequeños involucra las arterias más pequeñas dentro del cerebro: ramas del círculo de Willis, arteria cerebral media, tallo y arterias que surgen de la arteria vertebral distal y basilar.[26] Las enfermedades que pueden formar trombos en los vasos pequeños son (en incidencia descendente): lipohialinosis (acumulación de materia hialina grasa en los vasos sanguíneos como resultado de la presión arterial alta y el envejecimiento), degeneración fibrinoide (el accidente cerebrovascular que afecta a estos vasos se conoce como accidente cerebrovascular lacunar) y microateroma (pequeñas placas ateroscleróticas).[27]
La anemia de células falciformes, que puede hacer que las células sanguíneas se acumulen y bloqueen los vasos sanguíneos, también puede provocar un accidente cerebrovascular. Un accidente cerebrovascular es la segunda causa principal de muerte en personas menores de 20 años con anemia de células falciformes.[28] La contaminación del aire puede aumentar asimimo el riesgo de accidente cerebrovascular.[29]
Trombosis venosa
La trombosis del seno venoso cerebral conduce a un ictus debido al aumento local de la presión venosa, que excede la presión generada por las arterias. Es más probable que los infartos experimenten una transformación hemorrágica (fuga de sangre hacia el área dañada) que otros tipos de accidente cerebrovascular isquémico.[30]
Ictus embólico
Es consecuencia de un coágulo formado en una vena de otra parte del cuerpo (émbolo) y que, tras desprenderse total o parcialmente, viaja hacia el cerebro a través del torrente sanguíneo. También puede deberse a otro material llegado al torrente circulatorio por diferentes motivos. Habitualmente es un coágulo formado en el corazón, o también una fractura (embolismo graso), un tumor (embolismo metastásico), un fármaco o incluso una burbuja de aire. Al llegar a las pequeñas arterias cerebrales, el émbolo queda encallado cuando su tamaño supera el calibre de estas, dando lugar al fenómeno isquémico.
De origen extravascular
Estenosis por fenómenos compresivos sobre la pared vascular: abscesos, quistes, tumores y otros.

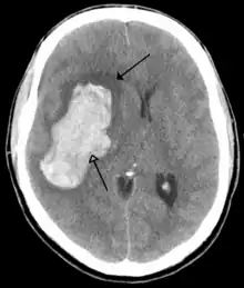
Ictus hemorrágico
Se deben a la rotura de un vaso sanguíneo encefálico debido a un pico hipertensivo o a un aneurisma congénito. Pueden clasificarse en: intraparenquimatosos y hemorragia subaracnoidea.
Las causas más frecuentes en la hemorragia cerebral son la hipertensión arterial y los aneurismas cerebrales.[31]
La hemorragia conduce a ictus a través de dos mecanismos. Por una parte, priva de riego al área cerebral dependiente de esa arteria, pero por otra parte la sangre extravasada ejerce compresión sobre las estructuras cerebrales, incluidos otros vasos sanguíneos, lo que aumenta el área afectada. Ulteriormente, debido a las diferencias de presión osmótica, el hematoma producido atrae líquido plasmático, con lo que aumenta nuevamente el efecto compresivo local. Es por este mecanismo por lo que la valoración de la gravedad y el pronóstico médico de una hemorragia cerebral se demora 24 a 48 horas hasta la total definición del área afectada.
Causas
La principal causa es la presión arterial elevada (hipertensión arterial), además de la presencia de algún aneurisma cerebral, y a continuación el sedentarismo (poca movilidad corporal, en especial de las extremidades inferiores: la falta de caminatas que duren al menos media hora al día), el alto consumo de radicales provenientes, entre otros, del tabaco, y de frituras o grasas hidrogenadas, una mala alimentación con grasas nocivas (colesterol, triglicéridos, grasas trans, etc.) que puedan producir arterioesclerosis, a lo que puede sumarse el consumo excesivo de alcohol, de tabaco o de drogas, así como padecer problemas cardíacos, como la fibrilación auricular u otras afecciones inicialmente no cardíacas ni vasculares, como diabetes o estrés. Cualquiera de estos factores, o más de uno al mismo tiempo, predisponen a sufrir un ictus.
La enfermedad celíaca puede provocar, si no se trata, este tipo de ataques, especialmente en personas jóvenes y niños; no obstante, suele pasarse por alto, sin reconocer ni diagnosticar, principalmente por cursar sin síntomas digestivos evidentes. Los retrasos en el diagnóstico pueden hacer que los daños sean irreversibles.[32]
Prevención
- Lo fundamental es controlar y hacer chequeos médicos de los factores de riesgo asociados, como:
- la hipertensión arterial;
- los niveles de grasas nocivas (incluido el aumento de triglicéridos) como la lipoproteína de baja densidad o LDL elevada (un tipo de colesterol), que pueden aumentar debido al consumo de aceites hidrogenados y otros alimentos poco saludables;
- la diabetes mellitus;
- la enfermedad celíaca.
- Evitar el consumo de tabaco, de sustancias psicotrópicas o estupefacientes y de bebidas alcohólicas.
- Evitar el sedentarismo y practicar un ejercicio físico de tipo moderado y prolongado (como marcha o bicicleta), media hora al día o 2 horas por semana.
- Consumir una dieta rica en verduras, frutas, proteínas, colesterol «bueno» y grasas polinsaturadas (ácido eicosapentaenoico (EPA), ácido docosapentaenoico (DPA), ácido docosahexaenoico (DHA)); consumir poca sal y evitar el consumo de cantidades elevadas de carbohidratos (azúcares y harinas) y grasas saturadas.
- Tomar una dosis moderada de aspirina periódicamente tiene un efecto preventivo contra el ictus.[33] Pese a lo cual, la aspirina es un medicamento contra el dolor, con sus propias contraindicaciones en algunos casos.[34]
- Evitar la ansiedad y aún más el angor (la angina de pecho), ya que, entre otros problemas vasculares, aumenta la hipertensión arterial.
- Evitar la depresión, ya que los estados anímicos depresivos tienden a espesar la sangre, y la hacen más trombogénica.[35]
- Seguir las recomendaciones del médico de cabecera, quien tiene acceso a la información pertinente relacionada con la salud de cada individuo.
- Evitar el sobrepeso.
- Evitar deportes de contacto o sobreesfuerzos.
- Evitar el distrés o estrés negativo (especialmente si es crónico), que puede provocar que la sangre se vuelva trombolítica (véase émbolo).[36]
Síntomas
Síntomas anteriores
Una característica del ataque cerebrovascular (ictus, embolia, derrame cerebral, accidente cerebrovascular o apoplejía) es que puede suceder de manera repentina, tras haber dado unos síntomas previos de baja intensidad o que directamente pasaron inadvertidos. Por lo cual, la prevención del ataque cerebrovascular, y los chequeos médicos que revisen sus causas, son fundamentales (como aparece descrito más arriba).
En cualquier caso, sí que podría haber previamente síntomas de baja intensidad y baja duración que indiquen algún problema, aunque quizás pasen inadvertidos por ser algo anodinos: parestesias (hormigueos), debilidad de un grupo muscular poco específico, episodios amnésicos breves, pequeñas desorientaciones, y otros. Estos síntomas menores son los más frecuentes, pero tienen gran importancia, porque pueden dar avisos prematuros.
Es destacable que, en los días previos a un ataque cerebrovascular (frecuentemente y aproximadamente, en alguno de los 7 días anteriores, incluso el anterior), aparece[37] en una proporción considerable de los pacientes una 'cefalea centinela': un dolor de cabeza severo e inusual que indica que hay algún problema. Su aparición hace aconsejable pedir una revisión médica y seguir las prevenciones contra el ataque cerebrovascular (ver arriba).
Los síntomas precursores (anteriores) a un ataque cerebrovascular podrían ser variados, y, según el área cerebral afectada, pueden ser sensoriales, motores o una combinación de ambos (sensitivomotores). Los más frecuentes son:
- Pérdida de fuerza en un brazo o una pierna, o parálisis en la cara (hemiparesia/hemiplejía).
- Dificultad para expresarse, entender lo que se le dice o lenguaje ininteligible (disartria).
- Dificultad al caminar, pérdida de equilibrio o de coordinación.
- Mareos, dolor de cabeza brusco, intenso e inusual, casi siempre acompañado de otros síntomas.
- Pérdida de la visión en uno o en ambos ojos.
Además, hasta un 50 por ciento de las personas que sufren un ataque cerebral y sobreviven padecen depresión durante los primeros años, pero en la mayoría de los casos no son diagnosticados de ello, lo que puede repercutir negativamente en su estado general.
Primeros auxilios
Un ataque cerebrovascular (ictus, apoplejía cerebral, embolia cerebral, infarto cerebral, hemorragia cerebral, derrame cerebral o accidente vascular cerebral) aparece bruscamente, pero puede ser reconocido para reaccionar deprisa y de una manera adecuada[40][41][42]utilizando el protocolo 'R.Á.P.I.D.O.'. Sus siglas se refieren a los posibles síntomas (uno o más) que el paciente podría estar mostrando, y a los primeros auxilios utilizables:
- (R)ostro: Una parte de la cara, generalmente de un solo lado, queda en una mueca o es difícil de mover. Si se le pide al paciente que sonría, sus labios podrían quedar en una mueca asimétrica.
- (A)lteración del equilibrio: Dificultad para mantenerse en equilibrio mientras uno camina o está de pie. Mareos. Vértigos.
- (P)érdida de fuerza de una parte del cuerpo: Una parte del cuerpo, normalmente un brazo o pierna, tiene sus movimientos o sensibilidad disminuidos. El paciente puede sentir un 'hormigueo' (parestesia).
- (I)mpedimento visual: El sentido de la vista, u otro sentido perceptivo, está deteriorado.
- (D)ificultad para hablar: El habla está deteriorada.
- (O)btener ayuda: Llamar a los servicios médicos de emergencia (hay una lista con sus números de teléfono aquí) para notificar el ataque cerebrovascular (ictus, apoplejía cerebral, embolia cerebral, derrame cerebral, o accidente cerebrovascular) y recibir ayuda profesional tan pronto como sea posible. Para trasladar al paciente a un centro médico,[43] el método más rápido y seguro es (normalmente) en ambulancia (o helicóptero, si es que hay alguno disponible para eso), excepto si eso es imposible (por ejemplo: si el viaje fuese a través de fenómenos climáticos peligrosos hasta un lugar muy lejano). En cualquier caso, conviene que, durante el traslado, el paciente esté acompañado por un equipo de especialistas de la salud,[43] y, si eso no puede ser, sería recomendable que al menos lo acompañase cualquier persona capacitada para realizarle una reanimación cardiopulmonar.
- Algunos otros síntomas habituales son: dolor de cabeza, a veces acompañado de náuseas, incapacidad súbita para entender algo y confusión en general.
Después de que sea descubierto el problema, el paciente debe permanecer sentado o acostado con la cabeza elevada, en calma, sin hacer esfuerzos y sin violencias, hasta que reciba un tratamiento médico profesional. Las cuatro primeras horas son cruciales, y por ello es esperada la participación del personal médico durante ese plazo de tiempo.
Si el paciente dejase de respirar, o su corazón dejase de latir, eso requeriría aplicarle rápidamente una reanimación cardiopulmonar.
En cualquier caso, acerca del ataque cerebrovascular, son fundamentales su prevención y los chequeos médicos que revisen los factores que lo causan (ver detalles más arriba).
Acerca del uso de aspirina y otros medicamentos en los primeros auxilios del ataque cerebrovascular:
- Los pacientes a quienes el médico les haya recetado un medicamento apropiado podrían mejorar si toman entonces su dosis. Sin embargo, hay que considerar que los medicamentos anticoagulantes y los antiagregantes son útiles si el ictus es isquémico, pero podrían no ser útiles, e incluso ser perjudiciales, si el ictus es hemorrágico. Así, las sustancias anticoagulantes, las antiagregantes, y las que fluidifican la sangre en general (como el apixabán, el dabigatrán, la warfarina, y el clopidogrel), actúan contra los trombos, los cuales aparecen en los ictus isquémicos, en los que hay algún vaso sanguíneo que está obstruido (de una manera similar a los casos de infarto cardíaco). Incluso, la aspirina también tiene un efecto inhibidor de los coágulos, y, por eso, tal como sucede en los casos de infarto, podría ser útil darle a la víctima de un ictus isquémico una tableta de aspirina (una dosis de aspirina de 162 a 325 mg es considerada como ya válida para ese efecto),[44]si es que no es alérgica a ella ni tiene otras incompatibilidades con la aspirina que la desaconsejen.[45] Pero no siempre la causa del ataque cerebrovascular es algún tipo de coagulación u obstrucción, sino que la causa podría ser una pérdida de sangre desde algún vaso sanguíneo, la cual sucede en los ictus hemorrágicos (algo que es mucho más probable en los ataques cerebrovasculares que en los problemas en el corazón), y así las sustancias anticoagulantes y fluidificadoras (como las mencionadas anteriormente, incluida la aspirina) fomentarían en algún grado esa pérdida de sangre.
- Hay medicamentos compuestos por nitratos que sirven para relajar los vasos sanguíneos, pero un estudio[46] descarta el uso de fármacos con nitroglicerina para una media de los ictus, que incluye a los isquémicos (producidos por una obstrucción) y a los hemorrágicos. En ello hay que considerar que los ictus hemorrágicos se producen por la rotura en algún vaso sanguíneo, que queda sangrando, por lo cual, en caso de que el ictus fuese hemorrágico, el ensanchar el vaso sanguíneo afectado no sería conveniente. Además, los medicamentos con nitratos interactúan con los medicamentos para la disfunción eréctil si éstos han sido tomados en las últimas 24 horas (aunque serían 48 horas en el caso de Cialis, y 12 horas si es Stendra, según las referencias aproximadas),[47] pudiendo provocar bajadas de tensión graves.
- En cualquier caso, tras utilizar cualquier medicamento, habría que comunicárselo después a los profesionales de la salud que atiendan al paciente (si eso fuese recordable).
Como curiosidad, el protocolo de primeros auxilios, en el idioma inglés del que proviene en su origen, se llama 'B.E. F.A.S.T.', pero contiene la misma información acerca de los síntomas posibles (uno o más) y de pedir ayuda médica:
- (B)alance (equilibrio) deteriorado.
- (E)yesight (visión) u otro sentido perceptivo deteriorado.
- (F)ace (rostro) paralizado o semiparalizado.
- (A)rm (brazo) o pierna u otra parte del cuerpo paralizada o semiparalizada.
- (S)peech (discurso) deteriorado.
- (T)ime (tiempo) breve para pedir ayuda médica.
Rehabilitación

Se requiere de un programa de rehabilitación interdisciplinaria que provea una asistencia integrada para las personas que han sobrevivido a un ataque cerebral. Esta debe atender tanto los aspectos motores como los relacionados con el habla, los trastornos visuales, las actividades de la vida diaria y las secuelas incapacitantes como la espasticidad, para que el sobreviviente de un ataque pueda alcanzar un grado de independencia suficiente como para retomar, al menos parcialmente, sus actividades habituales. Este equipo interdisciplinar debe estar formado por fisioterapeutas, neuropsicólogos, fonoaudiólogos (logopedas), terapeutas ocupacionales y todos aquellos relacionados con la medicina, como el médico rehabilitador o fisiatra, el psiquiatra y el neurólogo.[48]
Otro grupo que se ve afectado después de un episodio de esta naturaleza son los familiares y amigos de la persona, que necesitan de orientación sobre la mejor manera de acompañar a la persona que se está recuperando: fundamentalmente, porque, ante la incertidumbre y angustia en la que se encuentran, pueden actuar obstaculizando el proceso de rehabilitación.
Una revisión sistemática de 15 estudios, la mayoría realizados en Asia, particularmente China, y uno en Sudáfrica, encontró evidencia de que la rehabilitación comunitaria genera un impacto positivo en personas con discapacidades. De seis estudios centrados en personas con discapacidades físicas, tres mostraron efectos beneficiosos para casos de apoplejía. Actualmente, nuevos ensayos clínicos tratan de esclarecer los beneficios cognitivos y emocionales de intervenciones basadas en mindfulness y ejercicio físico en la fase crónica del ictus.[49] Adicionalmente, resulta necesaria una evaluación costo-efectividad de las rehabilitaciones que permita evaluar la asignación de los recursos.[50]
Epidemiología
Las enfermedades cerebrovasculares constituyen en la actualidad uno de los problemas de salud pública más importantes. Son la tercera causa de muerte en el mundo occidental, la primera causa de invalidez permanente entre las personas adultas y una de las principales causas de déficit neurológico en el anciano. No obstante, se ha demostrado que los ictus en niños de 0 a 14 años son los que registran mayores índices de recuperación, debido a la naturaleza plástica y al estado de desarrollo de su cerebro.
El daño cerebral supone una ruptura en la trayectoria vital del paciente y, por su elevado coste sociosanitario, condiciona las situaciones familiares, sociales e institucionales.
- El 3,5 % en la población mayor de 64 años.
- En España hay de 150 a 250 casos anuales por cada 100 000 habitantes.
Incidencia por edad y sexo:
- De 65 a 74 años la presencia es mayor en hombres.
- A partir de los 75, la prevalencia asciende significativamente entre mujeres.
Mortalidad:
- En Europa es la tercera causa de muerte. Por sexos, es la primera causa de mortalidad en la mujer.
- En España es la primera causa de muerte en mujeres y tercera en hombres.[51] Cada año el ictus provoca 90 muertes cada 100 000 habitantes.
- Durante el primer mes tras el ictus, la mortalidad es mayor del 25 %.
Morbilidad:
- El 32,3 % requiere rehabilitación.
- El 27,4 % presenta discapacidad para alguna actividad básica de la vida diaria.
- El 17,7 % de los pacientes que han sufrido un ictus son dependientes a los seis meses.
- El 12,5 % sufre depresión en los tres primeros meses.
- El 10 % evoluciona a demencia en los tres meses siguientes.
Otros problemas que acarrean son epilepsia, espasticidad, incontinencia urinaria, problemas intestinales, úlceras de decúbito, etc.
El número de personas afectadas, la duración, gravedad y variedad de las secuelas, su repercusión en la calidad de vida de los afectados y sus familias, sus consecuencias económicas y productivas convierten al daño cerebral adquirido en un problema sociosanitario de primera magnitud.[2]
Historia
Se han documentado episodios y transmisión hereditaria del accidente cerebrovascular desde el segundo milenio antes de Cristo en adelante en la antigua Mesopotamia y Persia.[52] Hipócrates de Cos fue el primero en describir el fenómeno de parálisis súbita que generalmente se asocia con isquemia. Apoplejía, del griego ἀποπληξία ‘abatido con violencia’, apareció por primera vez en los escritos hipocráticos para describir este fenómeno.[53][54] Más tarde, Galeno de Pérgamo describió los síntomas que comienzan con una pérdida repentina de la conciencia. Desde entonces, el concepto de apoplejía se ha utilizado profusamente en medicina para denotar tanto una ruptura aguda de la circulación cerebral como una hemorragia de rápido desarrollo en otros órganos (p. ej., apoplejía ovárica, apoplejía suprarrenal, etc.).[55]
En De Motu Cordis (1628), el médico inglés William Harvey estudió cómo se mueve la sangre por el cuerpo y definió la función del corazón como bombeo, describiendo el proceso de circulación sanguínea. Este conocimiento sentó las bases para estudiar las causas del accidente cerebrovascular y el rol de los vasos sanguíneos en este proceso.[56] En Apoplexia (1658), el patólogo suizo Johann Jakob Wepfer identificó la causa del accidente cerebrovascular hemorrágico cuando sugirió que las personas que habían muerto de apoplejía tenían sangrado en el cerebro.[28][53] Wepfer también describió las principales arterias que irrigan el cerebro, las arterias vertebrales y carótidas, así como la etiología de un tipo de accidente cerebrovascular isquémico conocido como infarto cerebral cuando sugirió que la apoplejía podría ser causada por un bloqueo de esos vasos.[28] En Cerebri anatome (1664), el médico inglés Thomas Willis documentó el papel de las anastomosis entre las arterias principales que suministran sangre al cerebro y definió su importancia en la prevención del accidente cerebrovascular al bloquear una de ellas.[57] En 1859, el patólogo alemán Rudolf Virchow hizo una contribución significativa a la comprensión de la patogenia del accidente cerebrovascular. Propuso los términos «trombosis» y «embolia», que siguen siendo clave en el diagnóstico, tratamiento y prevención del ACV. Posteriormente, indicó que la trombosis arterial no es causada por la inflamación, sino por la degeneración grasa de la pared vascular, y la asoció con la ateroesclerosis.[58]
Día mundial
El 29 de octubre es el Día Mundial de Lucha contra el ACV.[59]
Programas sociales
En 2016, el programa La Marató de TV3 hizo una campaña para conseguir dinero para investigar sobre el Ictus y las lesiones medulares y cerebrales traumáticas.
Véase también
Referencias
- «What is a stroke?» (en inglés). Washington D.C.: National Heart, Lung, and Blood Institute. 26 de marzo de 2014. Consultado el 27 de mayo de 2020.
- Ramírez Moreno, J. M.: «Conceptos básicos en las enfermedades cerebrovasculares» Archivado el 12 de junio de 2013 en Wayback Machine., artículo en power point en el sitio web Neurodidacta, del Hospital Universitario Infanta Cristina, en Badajoz (España).
- «¿Qué es el ictus?, ¿cuáles son sus causas?» Archivado el 24 de febrero de 2021 en Wayback Machine., artículo en el sitio web Ictus SEN, del Grupo de Estudio de Enfermedades Cerebrovasculares de la SEN.
- , artículo en el sitio web de la O.M.S. https://www.who.int/es/ Consultado el 23 de mayo de 2020
- World Health Organisation (1978). Cerebrovascular Disorders (Offset Publications) (en inglés). Geneva: Organización Mundial de la Salud. ISBN 978-92-4-170043-6. OCLC 4757533.
- Donnan GA, Fisher M, Macleod M, Davis SM (May 2008). «Stroke». The Lancet (en inglés) 371 (9624): 1612-1623. PMID 18468545. S2CID 208787942. doi:10.1016/S0140-6736(08)60694-7.
- Finger S, Boller F, Tyler KL (2010). Handbook of Clinical Neurology (en inglés). North-Holland Publishing Company. p. 401. ISBN 978-0-444-52009-8. Archivado desde el original el 12 de octubre de 2013. Consultado el 1 de octubre de 2013.
- Cortés Gabaudan, F; Ureña Bracero, J (2011). «ACV». Diccionario médico-biológico, histórico y etimológico. Salamanca: Universidad de Salamanca. ISBN 8-478-00572-2. OCLC 1120282809.
- Scadding JW (2011). Clinical Neurology (en inglés). CRC Press. p. 488. ISBN 978-0-340-99070-4. Archivado desde el original el 12 de octubre de 2013. Consultado el 1 de octubre de 2013.
- Sirven JI, Malamut BL (2008). Clinical Neurology of the Older Adult (en inglés). Lippincott Williams & Wilkins. p. 243. ISBN 978-0-7817-6947-1. Archivado desde el original el 12 de octubre de 2013. Consultado el 1 de octubre de 2013.
- Kaufman DM, Milstein MJ (2012). Kaufman's Clinical Neurology for Psychiatrists (en inglés). Elsevier Health Sciences. p. 892. ISBN 978-1-4557-4004-8. Archivado desde el original el 12 de octubre de 2013. Consultado el 1 de octubre de 2013.
- Barnhart RK, ed. (1995). The Barnhart Concise Dictionary of Etymology (en inglés) (1st edición). New York: HarperCollins Publishers. ISBN 978-0-06-270084-1.
- «ICD-11 for Mortality and Morbidity Statistics (Version : 02/2022)» (en inglés). Ginebra: World Health Organization. 2022. Consultado el 7 de julio de 2022.
- «CIE-10-ES Diagnósticos» (Cuarta edición). Madrid: Ministerio de Sanidad de España/Organización Mundial de la Salud. 2022. Consultado el 7 de julio de 2022.
- «CIE-11 para estadísticas de mortalidad y morbilidad (Versión : 02/2022)». Ginebra: Organización Mundial de la Salud. 2022. Consultado el 7 de julio de 2022.
- Real Academia Española. «ictus». Diccionario de la lengua española (23.ª edición). Consultado el 7 de julio de 2022.
- «Trastornos cerebrovasculares». Manual de codificación. CIE-10-ES Diagnósticos. 4a Edición. 2022. Madrid: Ministerio de Sanidad de España. 2021. p. 186. Consultado el 7 de julio de 2022. «El término ictus y ACV son usados a menudo de manera indistinta para referirse al infarto cerebral. Están indexados en el código I63.9 Infarto cerebral, no especificado.»
- Mosby's Medical Dictionary, 8th edition (en inglés). Elsevier. 2009.
- «What is a Stroke/Brain Attack?». National Stroke Association (en inglés). Archivado desde el original el 19 de octubre de 2013. Consultado el 27 de febrero de 2014.
- Segen's Medical Dictionary. (en inglés). Farlex, Inc. 2010.
- Kidwell CS, Warach S et. al. (December 2003). «Acute ischemic cerebrovascular syndrome: diagnostic criteria». Stroke (en inglés) 34 (12): 2995-2998. PMID 14605325. doi:10.1161/01.STR.0000098902.69855.A9.
- Diccionario de términos médicos. Madrid: Editorial Médica Panamericana. 2011. ISBN 9788498351835.
- «Thrombus». MedlinePlus (en inglés). U.S. National Library of Medicine. Archivado desde el original el 1 de julio de 2016.
- «Circle of Willis» (en inglés). The Internet Stroke Center. Archivado desde el original el 5 de febrero de 2016.
- «Brain anaurysm – Introduction» (en inglés). NHS Choices. 19 de octubre de 2017. Archivado desde el original el 8 de febrero de 2016.
- Fisher CM (December 1968). «The arterial lesions underlying lacunes». Acta Neuropathologica (en inglés) 12 (1): 1-15. PMID 5708546. S2CID 6942826. doi:10.1007/BF00685305.
- National Institute of Neurological Disorders and Stroke (NINDS) (1999). «Stroke: Hope Through Research» (en inglés). National Institutes of Health. Archivado desde el original el 4 de octubre de 2015.
- Shah AS, Lee KK, McAllister DA, Hunter A, Nair H, Whiteley W, Langrish JP, Newby DE, Mills NL (March 2015). «Short term exposure to air pollution and stroke: systematic review and meta-analysis». BMJ (en inglés) 350 (mar23 11): h1295. PMC 4373601. PMID 25810496. doi:10.1136/bmj.h1295.
- Stam J et. al. (April 2005). «Thrombosis of the cerebral veins and sinuses». The New England Journal of Medicine (en inglés) 352 (17): 1791-1798. PMID 15858188. doi:10.1056/NEJMra042354.
- «Accidente cerebrovascular | El Sistema Nervioso». agrega.educacion.es. Archivado desde el original el 20 de noviembre de 2018. Consultado el 26 de noviembre de 2018.
- Ciaccio EJ, Lewis SK, Biviano AB, Iyer V, Garan H, Green PH (26 de agosto de 2017). «Cardiovascular involvement in celiac disease». World J Cardiol (Revisión) 9 (8): 652-666. PMC 5583538. PMID 28932354. doi:10.4330/wjc.v9.i8.652.
- «Management of Patients With ST-Elevation Myocardial Infarction Executive Summary - Initial Recognition and Management in the Emergency Department - 6.3.1.4. Aspirin». web.archive.org. 27 de abril de 2010. Consultado el 1 de abril de 2024.
- CIMA. «PROSPECTO ASPIRINA 500 mg COMPRIMIDOS EFERVESCENTES». cima.aemps.es. Consultado el 10 de marzo de 2024.
- «The role of serotonin in depression and clotting in the coronary artery disease population»
- «Prevención de la apoplejía» Archivado el 25 de enero de 2006 en Wayback Machine., artículo en español en el sitio web NINDS (National Institute of Neurological Disorders and Stroke). Publicado bajo dominio público.
- Lebedeva, Elena R.; Ushenin, Anton V.; Gurary, Natalia M.; Gilev, Denis V.; Olesen, Jes (2022-12). «Diagnostic criteria for acute headache attributed to ischemic stroke and for sentinel headache before ischemic stroke». The Journal of Headache and Pain (en inglés) 23 (1). ISSN 1129-2369. doi:10.1186/s10194-021-01372-x. Consultado el 1 de abril de 2024.
- «About Stroke | American Stroke Association». web.archive.org. 3 de febrero de 2023. Consultado el 19 de marzo de 2024.
- Harbison, Jo; Massey, Anna; Barnett, Lee; Hodge, David; Ford, Gary A (1999-06). «Rapid ambulance protocol for acute stroke». The Lancet 353 (9168): 1935. ISSN 0140-6736. doi:10.1016/s0140-6736(99)00966-6. Consultado el 19 de marzo de 2024.
- Bosch, Adri (9 de junio de 2013). «Para Saber ,7 SÍNTOMAS DEL ACV (Accidente cerebrovascular)». Bosch's Blog. Consultado el 11 de mayo de 2024.
- Ministerio de Sanidad y Política Social. Ministerio de Ciencia e Innovación. Gobierno de España. Comunidad de Madrid., ed. (3 de mayo de 2024). «Guía de Práctica Clínica para el Manejo de Pacientes con Ictus en Atención Primaria (completa, 174 páginas)». web.archive.org. Consultado el 11 de mayo de 2024.
- «¿Qué es un ataque o derrame cerebral? | American Stroke Association». web.archive.org. 8 de marzo de 2024. Consultado el 12 de marzo de 2024.
- Pons, Peter T; Markovchick, Vincent J (2002-07). «Ambulance response time guideline». The Journal of Emergency Medicine (1): 43-48. ISSN 0736-4679. doi:10.1016/s0736-4679(02)00460-2. Consultado el 20 de marzo de 2024.
- «Management of Patients With ST-Elevation Myocardial Infarction - Table Of Contents». web.archive.org. 9 de mayo de 2010. Consultado el 2 de abril de 2024.
- «.:: CIMA ::. PROSPECTO ASPIRINA 500 mg COMPRIMIDOS EFERVESCENTES». cima.aemps.es. Consultado el 2 de abril de 2024.
- «Prehospital Nitroglycerin in Ultra-Acute Stroke - American College of Cardiology». web.archive.org. 2 de abril de 2024. Consultado el 2 de abril de 2024.
- «Recommended Separation for Nitrates and PDE-5 Inhibitors - Med Ed 101». web.archive.org. 26 de septiembre de 2023. Consultado el 14 de mayo de 2024.
- , artículo en inglés sobre la eficacia de la rehabilitación en ACV, del sitio web Evidence-Based Review of Stroke Rehabilitation http://www.ebrsr.com/ Consultado el 23 de mayo de 2020
- Bermudo-Gallaguet, Adrià; Ariza, Mar; Dacosta-Aguayo, Rosalia; Agudelo, Daniela; Camins-Vila, Neus; Boldó, Maria; Carrera, Òscar; Vidal, Sandra et al. (2022). «Effects and mechanisms of mindfulness training and physical exercise on cognition, emotional wellbeing, and brain outcomes in chronic stroke patients: Study protocol of the MindFit project randomized controlled trial». Frontiers in Aging Neuroscience 14. ISSN 1663-4365. doi:10.3389/fnagi.2022.936077/full. Consultado el 12 de octubre de 2022.
- Campbell Collaboration (2018). «Efectos positivos de la rehabilitación comunitaria para personas con discapacidades y sus cuidadores en países de ingresos medios y bajos». Oslo: Campbell Collaboration. Consultado el 3 de diciembre de 2019.
- «El Ictus | FEI». 10 de septiembre de 2015. Archivado desde el original el 10 de septiembre de 2015. Consultado el 24 de diciembre de 2016.
- Ashrafian H (2010). «Familial stroke 2700 years ago». Stroke (en inglés) 41 (4): e187; author reply e188. PMID 20185778. doi:10.1161/STROKEAHA.109.573170.
- Thompson JE (1996). «The evolution of surgery for the treatment and prevention of stroke. The Willis Lecture». Stroke (en inglés) 27 (8): 1427-34. PMID 8711815. doi:10.1161/01.STR.27.8.1427.
- Kopito J (2001). «A Stroke in Time». MERGINET.com (en inglés) 6 (9). Archivado desde el original el 8 de diciembre de 2012.
- Karenberg, A (1994). «Reconstructing a doctrine: Galen on apoplexy». Journal of the History of the Neurosciences (en inglés) 3 (2): 85-101. doi:10.1080/09647049409525595.
- Hunter, R; Macalpine, I (1957). «William Harvey: His Neurological and Psychiatric Observations». Journal of the History of Medicine and Allied Sciences (en inglés) XII (4): 126-139. doi:10.1093/jhmas/xii.4.126.
- Dumitrescu, A; Costea, C; Cucu, A; Dumitrescu, G; Turliuc, M; Scripcariu, D; Ciocoiu, M; Tănase, D; Turliuc, Ş; Bogdănici, C; Nicoară, S; Cărăuleanu, A; Schmitzer, S; Sava, A (10 de abril de 2021). «The discovery of the circle of Willis as a result of using the scientific method in anatomical dissection». Romanian Journal of Morphology and Embryology (en inglés) 61 (3): 959-965. doi:10.47162/RJME.61.3.38.
- Schiller F (1970). «Concepts of stroke before and after Virchow». Medical History (en inglés) 14 (2): 115-31. PMC 1034034. PMID 4914683. doi:10.1017/S0025727300015325.
- «El próximo 29 de Octubre se conmemora el Día Mundial de Lucha contra el ACV | ENERI». www.lylyk.com.ar. Archivado desde el original el 24 de diciembre de 2016. Consultado el 24 de diciembre de 2016.
Enlaces externos
- MedlinePlus Enciclopedia 000726
- Imágenes en MedlinePlus 17133
- Tutoriales Interactivos de Salud Medline Plus: Accidente cerebrovascular Utiliza gráficas animadas y se puede escuchar el tutorial
- Portal de la Sociedad Neurológica Argentina con documentación sobre el ataque cerebral (nombre con el que actualmente se engloban los conceptos de ACV, ictus y derrame cerebral). Contiene información de prevención, detección y consejos sobre qué hacer frente a un ataque cerebral.
