Íleon
El íleon es la sección final del intestino delgado, en el aparato digestivo.[1] Su nombre alude a su curso, que es muy sinuoso.[2]
| Íleon | ||
|---|---|---|
![]() Intestino delgado | ||
![]() La fosa del ciego. El íleon y el ciego están dibujados hacia atrás y hacia arriba. | ||
| Nombre y clasificación | ||
| Latín | [TA]: ileum | |
| TA | A05.6.04.001 | |
| Gray | pág.1171 | |
| Información anatómica | ||
| Arteria | arterias ileales | |
| Vena | venas ileales | |
| Nervio | ganglios celíacos, nervio vago | |
| Precursor | intestino medio | |
|
| ||
El intestino delgado tiene una longitud promedio de 6 a 7 m y se subdivide en duodeno, yeyuno e íleon.[3] La primera región del intestino delgado, de unos 25 cm de largo, se denomina duodeno. A la altura de la segunda vértebra lumbar, se transforma en el yeyuno. El último tramo corresponde al íleon.[2] Del tramo yeyuno-íleon, el 40% proximal (inicial) corresponde al yeyuno y el 60% distal (final) al íleon.
El yeyuno-íleon se caracteriza por presentar extremos relativamente fijos. El yeyuno se origina en el duodeno. El íleon está separado del intestino ciego por la válvula ileocecal. El límite entre el yeyuno y el íleon no es apreciable. Su calibre disminuye progresivamente en dirección al intestino grueso.[5]
El intestino delgado presenta gran número de vellosidades intestinales que aumentan la superficie de absorción de los nutrientes.[5] El íleon cumple con funciones de secreción, absorción y motilidad, que completan el procesado de los nutrientes. En él se absorbe la vitamina B12[6] y la mayor parte de las sales biliares.[7]
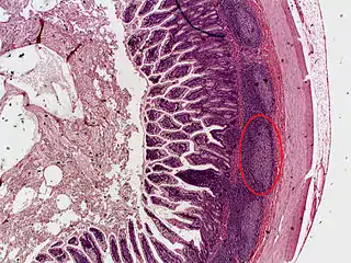
La mucosa yeyunoileal contiene acúmulos de tejido linfoide, denominados placas de Peyer, que son más numerosos en el íleon.[6]
En el feto, el íleon está conectado al ombligo a través del conducto vitelino. Aproximadamente en el 2% de los seres humanos este conducto no se cierra durante las primeras siete semanas de vida, lo que origina una patología llamada divertículo de Meckel.[8]
Galería de imágenes
Microvellosidades intestinales del íleon.
Corte histológico del íleon con las placas de Peyer resaltadas.
Referencias
- Real Academia Española. «íleon». Diccionario de la lengua española (23.ª edición). Consultado el 22 de enero de 2015.
- Gerhard Thews, Ernst Mutschler (1983). «Anatomía, fisiología y pato fisiología del hombre» (en spa). Reverte.
- Ferrufino, JC; Taxa, L; Gladis, A (1996). «Histología normal del intestino delgado». Rev Med Hered 7: 46-57.
- «Aparato digestivo».
- Manuel Díaz-Rubio, Enrique Rey Díaz-Rubio (2007). «Trastornos motores del aparato digestivo». Médica Panamericana.
- M. Hernández Rodríguez, A. Sastre Gallego (1999). «Tratado de nutrición». Ediciones Díaz de Santos.
- «Divertículo de Meckel». MedlinePlus. Consultado el 22 de enero de 2015.

