- an interactive version of this book is available here
- back to Table of Contents - The Zebrafish in Toxicology
Reproduction - Ovary
Normal Histology
ovary development
structure of early to advanced previtellogenic stages
|
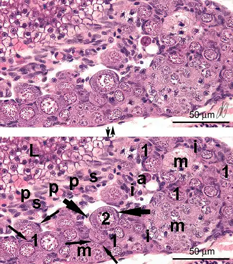
early previtellogenic stage (ovary staging 0-1)
In this image, the following elements are present:
In the intra-ovary stroma [i], occasional apoptotic bodies [a] are present. The stroma tissue of the mesentery [s] between the ovary and the liver [L] contains eosinophilic peritoneal cells [p]. |
|
|
|
|
|
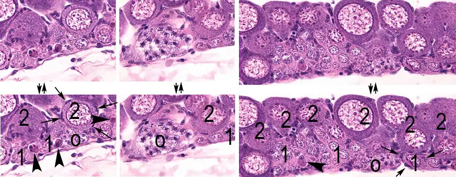
early previtellogenic stage (ovary staging 0-1) - primitive pole
In this image, the following elements are present:
|
|
|
early previtellogenic stage (ovary staging 1-2)
| |
|
|
|
|
intermediate previtellogenic stage (ovary staging 2)
Various stages of oocyte maturation can be observed simultaneously, since maturation of oogonia is asynchronous.
|
|
|
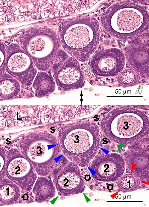
intermediate previtellogenic stage (ovary staging 2) - primitive pole
Generally, further maturing ovaries still have clusters of early oocytes, particularly in the poles of the organ.
|
|
|
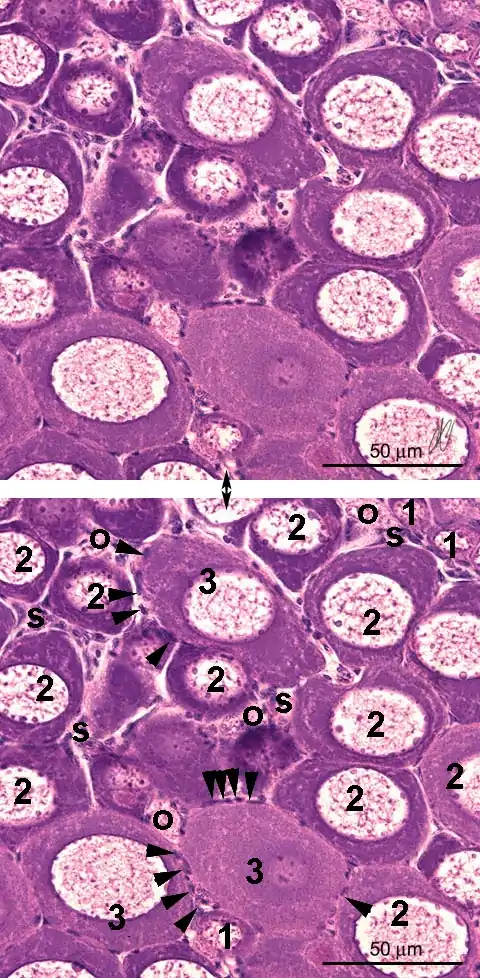
advanced previtellogenic stage (ovary staging 2-3)
At advanced previtellogenic maturation stages of the ovary, the section is dominated by stage 2 and stage 3 primary oocytes, with obvious clearing of the cytoplasm. The follicle cells of the stage 3 show more prominent than those of previous stages. In this image, the following elements are present:
Various stages of oocyte maturation are present simultaneously, since maturation from oogonium is asynchronous.
|
|







